Modell
News

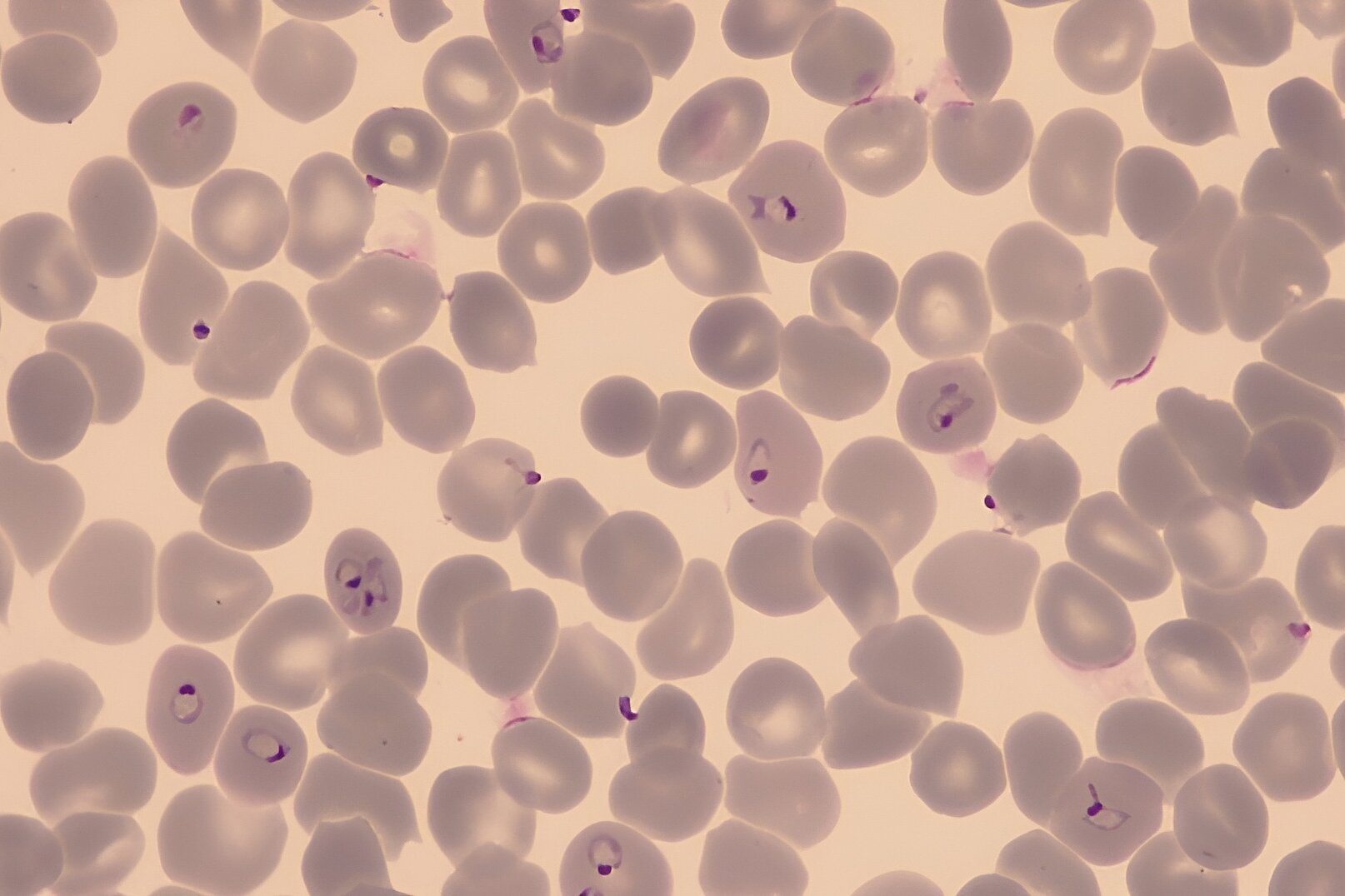
Zwei Erreger mit einer Klappe

Saarbrücker Forscher:innen optimieren Wirkstoffkandidaten gegen multiresistente Bakterien und Parasiten

Die Entwicklung neuer Wirkstoffe gegen krankheitserregende Bakterien, Parasiten, Pilze und Viren wird immer wichtiger, da bisherige Wirkstoffe aufgrund der Entwicklung von Resistenzen zunehmend an Wirksamkeit verlieren. Am Helmholtz-Institut für Pharmazeutische Forschung Saarland (HIPS) hat ein Team um Prof. Rolf Müller einen antimikrobiellen Naturstoff, der sowohl gegen Infektionen mit dem Krankenhauskeim MRSA als auch gegen den Malariaerreger wirkt, für die präklinische Forschung und zukünftige potenzielle Anwendung am Menschen optimiert. Ihre Ergebnisse haben die Forscher:innen in der Fachzeitschrift Angewandte Chemie International Edition veröffentlicht.

Weltweit werden immer mehr Fälle antibiotikaresistenter bakterieller Krankheitserreger gemeldet. Damit dennoch weiterhin wirksame Antibiotika zur Verfügung stehen, müssen dringend wirksame antimikrobielle Verbindungen mit neuartigen Strukturen und Wirkmechanismen für die Entwicklung neuer Medikamente gegen Infektionskrankheiten erforscht werden. Eine der wichtigsten Quellen für solche neuartigen Wirkstoff-Gerüste sind Naturstoffe aus Mikroorganismen. Diese oft hochwirksamen Substanzen werden von Bakterien oder Pilzen produziert, um sich in ihrem natürlichen Umfeld (z.B. dem Boden) einen Vorteil gegenüber konkurrierenden Mikroben zu verschaffen. Bevor diese Moleküle allerdings zur Bekämpfung krankheitserregender Bakterien im Menschen eingesetzt werden können, müssen sie in meist langwierigen Prozessen für diese Anwendung optimiert werden, um eine ausreichende Wirksamkeit zu gewährleisten und Nebenwirkungen soweit möglich auszuschließen. Dieser Aufgabe hat sich das Team um Rolf Müller am HIPS bei der Naturstoffklasse der Chlorotonile gestellt. Das HIPS ist ein Standort des Helmholtz-Zentrums für Infektionsforschung (HZI) in Zusammenarbeit mit der Universität des Saarlandes.

Die Chlorotonile wurden 2007 zum ersten Mal aus dem Bodenbakterium Sorangium cellulosum beschrieben. Zusätzlich zur hohen Wirksamkeit gegen den Malariaerreger Plasmodium falciparum zeigen Chlorotonile auch eine sehr gute Aktivität gegen grampositive Bakterien wie den Krankenhauskeim Staphylococcus aureus - auch bekannt als MRSA. Trotz der vielversprechenden antimikrobiellen Wirkung der Chlorotonile galt eine Anwendung in der Klinik bis vor kurzem noch als unwahrscheinlich, da die bekannten Derivate nicht sehr stabil und nur schlecht löslich waren. Das Team um Rolf Müller machte es sich daher zu Aufgabe, gezielt diese Eigenschaften der Naturstoffklasse zu verbessern, um die potenten Chlorotonile für die frühe präklinische Entwicklung zugänglich zu machen.

Obwohl Chlorotonil mittels chemischer Synthese hergestellt werden kann, ist die Produktion des Naturstoffs auf diesem Weg sehr zeit- und kostenintensiv und der Ertrag sehr gering. Das Forschungsteam um Rolf Müller fand heraus, dass sich der Naturstoff durch seinen natürlichen Produzenten S. cellulosum im großen Maßstab mittels Fermentation produzieren lässt. Die so isolierten Moleküle nutzen die Wissenschaftler als Ausgangspunkt für die Herstellung neuer Derivate, die so in der Natur nicht vorkommen. Bei der sogenannten Semisynthese wurden gezielt die Teile des Moleküls verändert, welche für die zu optimierenden Eigenschaften wie Löslichkeit und Stabilität verantwortlich sind. Dr. Walter Hofer, Erstautor der Studie, sagt: „Naturstoffe sind sehr komplexe Moleküle und schon kleine Modifikationen können einen großen Effekt haben. Bei der Optimierung via Semisynthese besteht die Schwierigkeit darin, die Substanz so zu verändern, dass die negativen Eigenschaften beseitigt werden, aber die hohe Wirksamkeit trotzdem erhalten bleibt.“

Nach der erfolgreichen Synthese von 25 Chlorotonilderivaten und umfangreichen in vitro-Studien konnten die Forscher:innen ein Molekül mit sehr guter Löslichkeit identifizieren, das neben einer guten Aktivität gegen P. falciparum auch gegen eine Reihe mehrfach resistenter Bakterien hochaktiv war. Um zu belegen, dass das neu entwickelte Molekül auch im lebenden Organismus stabil und aktiv ist, wurde der Wirkstoffkandidat in einem Mausinfektionsmodell mit S. aureus getestet. Hier führte die Gabe des verbesserten Chlorotonilderivates tatsächlich zu einer bis um das Zehntausendfache reduzierten bakteriellen Belastung der infizierten Tiere. Jennifer Herrmann, Leiterin des Bereiches Biologie in der Abteilung "Mikrobielle Naturstoffe" am HIPS, sagt: „Die gute Wirksamkeit im Mausmodell macht uns zuversichtlich, dass die neuen Moleküle auch für eine Anwendung am Menschen geeignet sein könnten. Um das Risiko zu minimieren, dass hier unerwartete Nebeneffekte auftreten, müssen vorher allerdings noch weitere Parameter untersucht werden.”

Ein weiterer Vorteil der neu entwickelten Derivate: In ersten Experimenten, welche die Entstehung von Resistenzen gegen den neuen Wirkstoff untersuchen, konnten die Forscher:innen des HIPS keine Resistenzbildung beobachten. Dies lässt das gesamte Team hoffen, dass der Wirkstoff länger eingesetzt werden kann, bevor es auch im klinischen Umfeld zur Entstehung resistenter Erreger kommt. „Die Entwicklung von Resistenzen ist in der Regel keine Frage des ob, sondern eine Frage des wann. Wenn wir dafür sorgen können, dass dieser Prozess langsamer stattfindet, schenkt uns dies kostbare Zeit im Kampf gegen Infektionserkrankungen und hilft uns potenziell dabei, Leben zu retten“, sagt Rolf Müller, Geschäftsführender Direktor des HIPS und Leiter der Abteilung "Mikrobielle Naturstoffe" am HIPS.

In Folgestudien sollen die Erforschung des pharmazeutischen Potenzials dieser einzigartigen Naturstoffklasse und die weitere Optimierung für den Einsatz beim Menschen im Vordergrund stehen. Aktuelle wissenschaftliche Fragestellungen beschäftigen sich insbesondere mit möglichen Darreichungsformen des Wirkstoffs und damit, wie die Substanz in infizierte Gewebe transportiert werden kann. Das übergeordnete Ziel ist hierbei die Entwicklung eines Antibiotikums, welches für die Behandlung schwerwiegender Infektionserkrankungen genutzt werden kann, für die es kaum oder sogar keine Therapieoptionen mehr für Patient:innen gibt.

Originalpublikation:

Hofer, W., Oueis, E., Abou Fayad, A., Deschner, F., Andreas, A., Pessanha de Carvalho, L., Hüttel, S., Bernecker, S., Pätzold, L., Morgenstern, B., Zaburannyi, N., Bischoff, M., Stadler, M., Held, J., Herrmann, J., and Müller, R.* (2022) Regio- and stereoselective epoxidation and acidic epoxide opening of antibacterial and antiplasmodial chlorotonils yield highly potent derivatives, Angew. Chem. Int. Ed., e202202816. DOI: 10.1002/anie.202202816